valokuva avoimista lähteistä
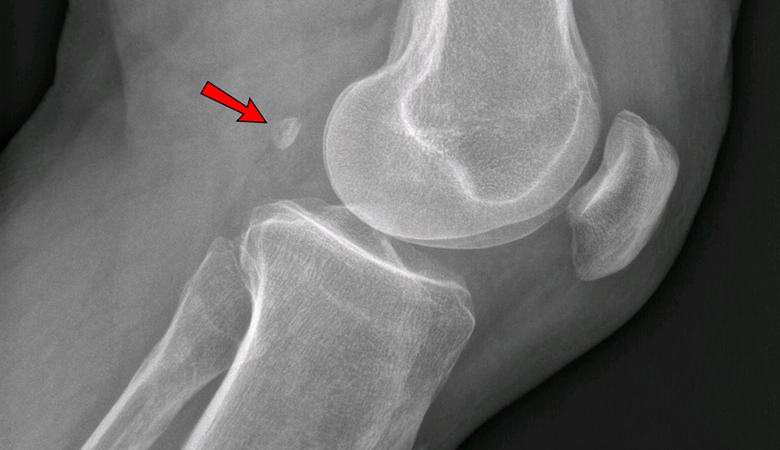
Fabella on pieni polvi, että luu sata vuotta sitten sitä pidettiin uhanalaisena evoluution aikana alkeellinen vartalo. Viime aikoina hänestä on kuitenkin tullut tavata yhä enemmän planeettamme asukkaiden keskuudessa.
Jos vuonna 1918 vain 11 prosentilla maalaisista oli fabella ainakin yhdessä jalka, sitä esiintyy tänään 39 prosentilla ihmisistä. Tämä seesaminmuotoinen luu kasvaa jänteiden paksuudessa polven takana ja anatomisesti muistuttaa mikroskooppista patellaa.
Lääkärit eivät vieläkään pysty selvittämään miksi tämä alkuperää palaa ihmiskehoon ja miksi sitä tarvitaan. ensimmäinen lääkärien mielestä Fabella oli vain vaaraton, tarpeeton elin, asiantuntijat ovat kuitenkin nyt päättäneet, että hänen läsnäolonsa polvi voi aiheuttaa nivelrikkoa. Siellä oli jopa lääkäreitä joka suositteli kaikille, joilla on fabella, poistamaan se kirurgisesti, jotta vanhuus ei kärsisi muodonmuutoksista nivelrikko.
On oletettu, että fabella meni henkilölle alkaen apinoilla, joissa hän lisäsi mekaanista tehokkuutta polvinivelet. Ihminen, he sanovat, kehittyi ja alkoi menettää annettu luu. Tästä huolimatta viime vuosikymmeninä enemmän ihmiset alkoivat kärsiä ylipainosta rasvaisen ruokavalion vuoksi ja väärä elämäntapa. Paine polvinivelillemme lisääntynyt, ja juuri sen väitetään johtavan “kadonneen” muodostumiseen sesamoid luu.
valokuva avoimista lähteistä
Nykyään jokainen biologian oppikirja osoittaa, että ihmisen luuranko koostuu 206 luusta. Ehkä kuitenkin tulevaisuudessa tällaista tietoa tunnustetaan vanhentuneiksi, ja siellä he puhuvat 206-208 luusta, koska monilla ihmisillä on jo yksi tai molemmat tarinat. tämä luu, jota monet lääkärit katsovat, voidaan kutsua lisäykseksi luuranko “, koska se ei ole vain hyödytön, vaan voi myös palvella aiheuttaa terveysongelmia. Kosketuksessa polvien rustoihin, se johtaa vakavaan nivelrikkoon.
Nykyään tutkijat tekevät kuitenkin yhä enemmän johtopäätöksiä, että vuonna 2006 ihmiskeho ei ole mitään tarpeetonta, ja sama liite tai Missään tapauksessa manteleita ei saa poistaa, ellei se ole ehdottoman välttämätöntä. On mahdollista, että jokin aika ja todellinen tarkoitus ohitetaan fabella, kuten liite, ymmärretään sekä syyt siihen “ylimääräinen luu” polvessa palaa henkilölle aikana sen jatkokehitys …
Ajan kehitys
