valokuva avoimista lähteistä
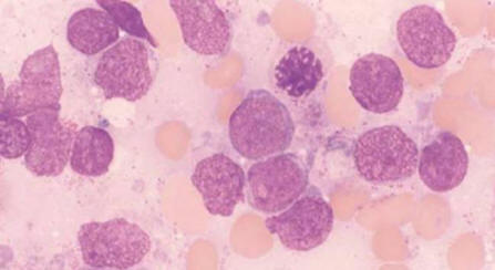
Tšekin hematologian ja verensiirron instituutin asiantuntijat paransi 27-vuotiasta potilasta, jolla oli akuutti lymfaattista leukemiaa, jonka selviytymismahdollisuudet olivat nollat.
Hieman ennen tätä, kaveri, kuten väistämättä tapahtuu ja potilailla, joilla on tämäntyyppinen verisyöpä, uusiutuminen. Jonka jälkeen kehon lakkasi reagoimasta lääkkeisiin ja kemoterapiaa. Potilaan piti elää useita viikkoja. Ja sitten Lääkärit päättivät kokeilla täysin uuden tyyppisiä lääkkeitä Tšekin tasavallalle. Yhtäkkiä se auttoi vakauttamaan potilaan tilaa – ja läpi aikatestit odottamattomasti kaikille osoittivat, ettei syöpää ole! lääkäri Lääketieteet Cyril Shalek Hematologian instituutista CR verensiirto kertoi, että tämä lääke kuuluu monoklonaalisten vasta-aineiden uuteen perheeseen. Sen yksi pää molekyylit sitoutuvat leukemiasoluihin, toiset terveisiin. Lisäksi jokainen molekyyli toimii yhtenä tehokkaana osaa immuunista järjestelmät, joiden luonnollinen tehtävä on tappaa vieraita ja sairaita soluja. Työkalu on erityisessä suuressa ampullissa. potilas kantaa jatkuvasti sitä mukanaan, hän on yhteydessä hänen laskimoonsa. kautta tasaisesti erotettu lääke erityisellä pumpulla injektoidaan vereen, ja se alkaa toimia “Nykyisyydessä voimme sanoa, että olemme löytäneet vallankumouksellisen lähestymistapaa hematologisten sairauksien hoitoon “, lääkäri on varma Salek.
aika
