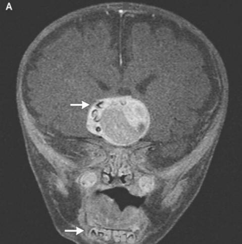
USA: n Marylandin osavaltion kirurgien piti viettää yksi vaikeimmista operaatioista heidän käytännössään. Neljä kuukautta vanhempia pojat soittivat hälytyksen ja menivät lääkäreiden jälkeen huomasin, että heidän lapsensa pää kasvaa liian nopeasti. lääkärit suoritti tutkimuksen ja havaitsi, että hammas oli kasvanut potilaan aivoissa.
valokuva avoimista lähteistä Kuten kirurgit selittivät pelättyjä vanhempia ja onkologit, tämä johtui harvinaisen synnynnäisen muodostumisesta kasvaimet – craniopharyngiomas, kirjoittaa New England Journal of Medicine. Tämä kasvain valtaosassa tapauksia hyvänlaatuinen voi kuitenkin kasvaa pallon palloksi golf ja aiheuttaa hajua heikentyneen kuulon ja näkökyvyn heikkenemisen, ja lisää myös kallonsisäistä painetta. Tutkijat aina epäili, että nämä kasvaimet, jotka ilmenevät lapsessa jo raskaus, muodostettu samoista soluista kuin hampaat, koska ne havaitsivat suuria kalsiumkerroksia, mutta todellisen muodostuneen hampaan ennen tätä tapausta, jota he eivät löydä kirjanpito
Kirurgit poistivat kuvan onnistuneesti avoimista lähteistä poika, he sanoivat, menee hyvin. Kuitenkin hammas että kasvoi aivolisäkkeessä, mutta häiritsi erityisesti aivoja, asianmukainen hormonien tuotanto – potilaan on otettava ne ennen elämän loppu. Tämä tapaus voi perustellusti olla ylpeä paikasta luettelo onkologien omituimmista toimenpiteistä. Sillä välin, vuonna nuori mies Iranista, joka piti hoita karvaiset silmät. Oudokas kasvain hänen silmässään ilmestyi melkein heti syntymän jälkeen, mutta 19 – vuotiaana se kasvoi huomattavasti vuonna 2006 (enintään 0,6 cm) ja estävät silmäluomien sulkemisen lisäksi siitä jäykät hiukset alkoivat kasvaa. Lääkärit poistivat kasvaimen ja havaitsivat sen tämä on limbaalinen dermoidi – erittäin harvinainen, yleensä hyvänlaatuinen koulutus. Lääkäreiden mukaan siinä tapauksessa jos nuori mies veti edelleen lääkkeillä, hänen turvotuksensa ei vain voinut kasvattaa hiuksia, vaan myös alkaa hikoilla: ajan myötä kasvaimissa vastaavat rauhaset ilmestyvät usein.
aika
