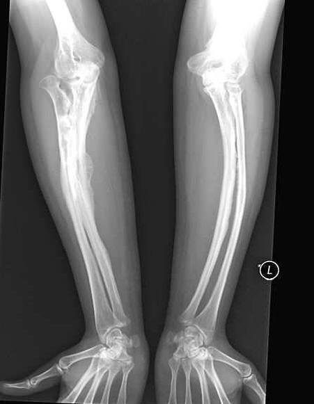
Nainen, jolla on lisääntynyt luiden hauraus, onnistui menemään onnellisena ulos naimisiin. Anastasia Marukova, joka diagnosoitiin lapsena “epätäydellinen osteogeneesi” selvisi paljon vaivaa. Hän on mursi luita 40 kertaa. Isä ei kestänyt elämää vakavaan sairauteen tytär ja jätti heidät varhain äitinsä luo. Mutta sitten Anastasia oli onnekas kanssa aviomies – rakkaansa saattaja häntä kaikkialla, koska huolimaton liike lupaa hänelle uuden käännekohdan.
Valokuvia avoimista lähteistä
0
Like this post? Please share to your friends:
Related articles
valokuva avoimista lähteistä Mao Zedong, Kiinan kansantasavallan ensimmäinen johtaja, Puheenjohtaja Mao “on ehkä tunnetuin
valokuva avoimista lähteistä häntä kutsuttiin suureksi huijaajaksi. Ferdinand Demara asettui eri paikkoihin eri nimillä,
valokuva avoimista lähteistä Miltä keksijä näyttää sinun näyttävän? Aikuinen mies jolla on korkeakoulututkinto tai
valokuva avoimista lähteistä Hän osaa lukea minkä tahansa henkilön ajatukset ja arvata hänen salaiset
Kuva avoimet lähteet Kaikki tietävät, että kuoleman jälkeen ihmiskehossa alkaa peruuttamattomat prosessit, jotka johtavat
valokuva avoimista lähteistä Parapsykologeilla ja tutkijoilla on täysin vastakkaisia kohtia näkymä elämään kuoleman jälkeen.
