valokuva avoimista lähteistä
Tyttö Kiinan Shandongin maakunnasta asui 24 vuoden ikäisenä, ei tietäen, että hänestä on kadonnut merkittävä osa aivoista syntymästään asti, ja – se on pikkuaivo.
Tällainen löytö tehtiin vasta, kun hän vieraili lääkärit valittavat pahoinvoinnista ja huimauksesta. Hän kertoi lääkärit, joilla on ongelmia elämässä kävelyä. Hänen äitinsä kertoi, että tyttärensä pääsi mennä vasta seitsemän vuotta, ja puhua aloitettiin kuuden vuoden iässä.
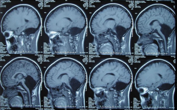
Normaali aivojen tomografia, pikkuaivo punaisella
valokuva avoimista lähteistä
Tomografian jälkeen lääkärit tunnistivat välittömästi ongelman lähteen – sen pikkuaivo puuttui. Tila, jossa sen pitäisi olla tyhjä. tämä aivojen alue täytettiin aivo-selkäydinnesteellä, tarjoaa suojaus tautia vastaan. Pikkuaivoissa on noin 10 prosenttia aivojen kokonaistilavuus, mutta sisältää 50 prosenttia neuroneista.
Kiinalaisen naisen aivokuvantaminen ilman pikkuaivoa
valokuva avoimista lähteistä
Nainen liittyy “eliitti” -klubiin, jossa on yhdeksän ihmistä, jotka asuivat ilman tätä auktoriteettia. Tästä huolimatta yksityiskohtaiset kuvaukset tautia ei ole, koska kaikki ihmiset kuolivat nuorena ja ongelma havaittiin vain ruumiinavauksessa.
Cerebellar-ongelmat voivat johtaa vakaviin henkisiin ongelmiin taaksepäin, liikuntahäiriöt, epilepsia tai mahdollisesti tappava nesteen kertyminen aivoissa. Kuitenkin klo tälle naiselle pikkuaivojen puute johti vain lievään puutteeseen liikkuminen ja kohtalaiset puheongelmat, kuten lievä ääntäminen.
Lääkärit kuvaavat näitä vaikutuksia “vähemmän kuin voisi olla odottaa “, ja heidän mukaansa hänen tapaus korostaa hämmästyttävää aivojen plastilisuus.
elämä
