Valokuvia auki lähteet
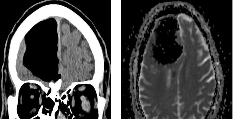
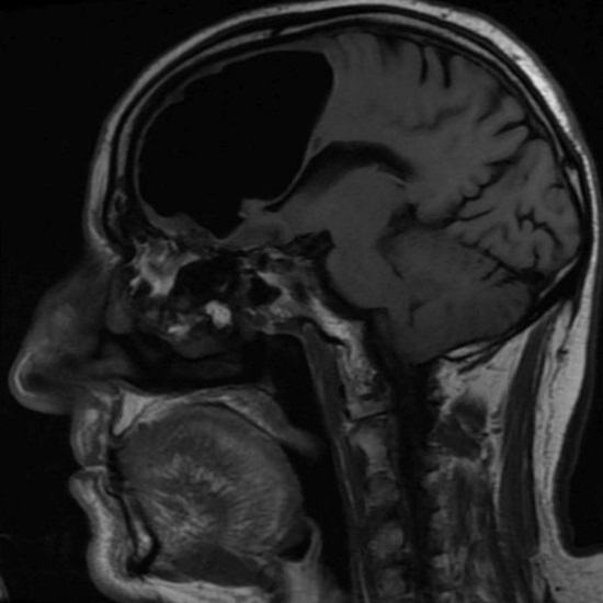
Pohjois-Irlannin lääkärit hämmästyivät tutkiessaan äskettäin 84-vuotias potilas, joka tuli heidän luokseen pahoinvoinnilla. Tehtyään miehen pään magneettikuvauskuvauksen lääkärit huomasi yllättäen, että hän puuttui osasta oikeaa etuosaa aivojen lohko. Sen sijaan eläkeläisen kallo oli ilmaa taskussa. Sitten lääkärit päättivät, että todellinen aivojen fragmentti potilas ei hävinnyt mihinkään, mutta häntä sekoitettiin tämän epänormaalin suuntaan onkalo.
valokuva avoimista lähteistä
Sairaalan henkilökunta ehdotti potilaan käyttäytymistä vaikeana toimenpide ilmataskun poistamiseksi, mutta mies kieltäytyi leikkauksesta. Eläkeläisen mukaan hänen ikä, hän yleensä tuntuu erittäin hyvältä eikä aikoo asettaa henkensä vaaraan makaamalla skalpelin alla. K onneksi pian irlantilaisten hyvinvointi katosi ja nykyhetkessä tällä hetkellä hänellä ei ole mitään epämukavuutta, joka liittyy heidän epänormaali terveydentila.
On huomattava, että poikkeavuudet aivoissa ja jopa niiden puuttuminen sellaista löytyy kuitenkin maailmasta, jolla on tällaisia poikkeamia elää normaalia elämää tuntematta mitään mukavuutta. He jopa osaa ajatella normaalisti ilman aivoja (lue verkkosivuiltamme laaja artikkeli aiheesta), miksi voimme päätellä: paljon, mitä henkilölle on annettu esimerkiksi hänen ainutlaatuiset kykynsä, muisto, lopulta on fyysisen kehon ulkopuolella, mikä todistaa esimerkiksi itäinen viisaus ja esoteerinen tieto. Siksi asia Irlannin kanssa vain lisävahvistus tästä, vaikkakin yllättävää hän on materialistinen lääkäri kaukana vahingoista …
elämä
